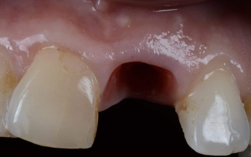
İmplantlar, diş kökü şeklinde titanyumdan hazırlanmış, çene kemiğine küçük bir operasyon ile yerleştirilen suni diş kökleridir.
Titanyum doku dostu bir malzemedir. Kemik ile özel bir bağ oluşturarak yerleştirildiği yere, hücresel olarak tutunur. Bu tutunma tamamlandığında (2-6 ay) üst yapı dediğimiz protezi hazırlama işlemine geçilir. Günümüzde implantlar tartışmasız olarak doğal diş kayıplarında en iyi alternatiftir. Tek diş eksikliğinde, birkaç diş eksikliğinde ya da total dişsizlikte implantlar tercih edilebilir.
İmplant uygulanabilmesi için, implant yerleştirilecek bölgede çene kemiğinin implantı kabul edecek yükseklik ve genişliğe sahip olması gerekmektedir. Eğer bunun aksi bir durum varsa bölgenin optimum hale getirilebilmesi için gerekli operasyonlar (sinüs lifting, greft ve membran kullanımı vb.) yapılabilir. Mevcut kemiğin kalitesi implantın başarısını etkileyen faktörlerden biridir. Gençlerde kemik gelişiminin tamamlanması gerekmektedir. Erişkinler için üst yaş sınırı yoktur. Genel sağlık durumu iyi olan herkese implant uygulanabilir. Hijyen, implant uygulamalarında ayrıca önem taşımaktadır. O yüzden implant uygulanacak kişinin ağız bakımına dikkat etmesi implantın başarısında büyük rol oynamaktadır. Operasyon hekim ve hastanın tercihine göre lokal yada genel anestezi altında uygulanır. Her cerrahi müdahalede olduğu gibi biraz ağrı beklenebilir. Anestezi ve sedasyon ameliyat sırasındaki rahatsızlığı neredeyse tamamen önleyecektir. Ameliyat sonrası, diş çekiminden sonraki ağrıya benzer bir ağrı olabilir.
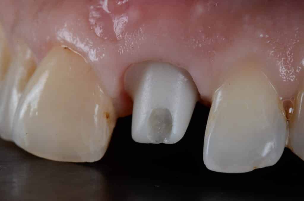
Operasyondan sonra, implant ile çene kemiğinin birleşmesi için (osteointegrasyon) vakaya özel olmakla birlikte yaklaşık olarak 2-6 ay kadar beklenir. Eğer gerek görülürse bu dönem süresince geçici bir protez kullanılabilir. Daha sonra vakanın özelliğine göre birkaç seans süren bir uygulama ile implant üstü protezler takılır.



İmplant tedavisinin avantajları
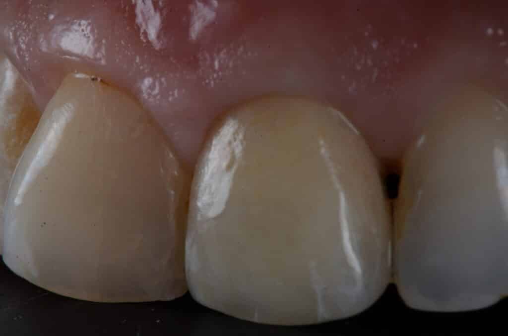
Daha estetik ve daha doğal bir görünüm sağlar. Dişler stabil kalır. İmplant üstüne yapılan total (damak), parsiyel veya sabit protezler daha konforludur. Tutuculuk maksimumdur. Çekilmiş dişlerin olduğu kemik bölgelerinde zamanla madde kaybı olur ve kemikler gittikçe incelir. Buna bağlı yumuşak dokularda da bir takım değişiklikler olur. İmplantların yerleştirilmesi ile bu kemik kaybı engellenir. Çiğneme fonksiyonu düzeldiği için daha dengeli ve iyi beslenme sağlanır. Böylece iyi çiğneyememeye bağlı olarak oluşmuş mide problemleri giderilir. Doğal görünüm ve estetiğin sağlanması ile kişinin kendine güveni artar.
Detaylı Bilgi →İmplant Destekli Protezler
İmplant, eksik diş tedavilerinin kronik birçok sorununa olduğu gibi, protezler konusunda da, önemli sorunlara çözüm sağlamaktadır. Ağızda hiç dişin bulunmadığı ya da az sayıda dişin bulunduğu durumlarda, yeterli kemik seviyesine sahip hastalara dental implantlardan destek alınarak implant üstü sabit ya da hareketli protezler yapılmaktadır. İmplant destekli protezler ile çiğneme gücü arttırılabilir, rahatça konuşma sağlanabilir. İmplant destekli protezler ile çiğneme gücü arttırılabilir, rahatça konuşma sağlanabilir. İmplant uygulamalarından önce tüm dişlerini kaybeden hastalar, hareketli protez kullanımında zorluk çekebilmekteyken artık implant desteği sayesinde ister hareketli, ister sabit protez olsun, tüm protezlerin kullanımı kolaylaşıp hastalara kalıcı çözümler sunulabilmektedir
Detaylı Bilgi →Diş Çekimi
Diş hekimi olarak, ana hedefimiz doğal dişlerinizi korumak ve mümkün olduğunca uzun süre sağlıklı tutmaktır. Bununla birlikte, bazen çeşitli nedenlerle (travma, gömük 20 yaş dişleri, ortodontik tedavi..) diş çekimi gerekebilir. Nedeni ne olursa olsun, diş çekimi çok rutin yapılan bir işlem değildir. Diş çekiminde, öncelikle çekim yapılacak bölgeye anestezi yapılır. Anestezi tamamlanıp çekim yapıldıktan sonra, size dikkat etmeniz gerekenler hakkında bilgi verilir.
Detaylı Bilgi →